。

今回の実験で分かったことはBFIは打撲や捻挫のみならず、骨折における二次痛(無髄C線維が秒速90㎝という低速で伝える第二波の痛み)までをも見事なまでに抑える効果があるということ。
さらに二次痛の発生を抑制する手段として、C触覚線維を賦活化させるべく撫でる刺激よりも、ひたすら患部を覆うように触り続ける(圧迫という趣意ではなくただ触れるだけ)というような“静止持続的な刺激”のほうが二次痛を防ぐ効果が高かったことが分かりました。
この事実は外傷性の痛みはC触覚線維を経由して島皮質後部を活性化させるよりも、毛包受容器を介して中脳灰白質でのオキシトシン分泌とそれに続くセロトニン活性を促したほうが効果的であるということを示唆しています。
そして二次痛の抑制はその後の回復に想像を絶するほどの好影響を及ぼすことも…。これまでの臨床データから推断されていた考えがほぼほぼ確信に…。ほぼほぼ…。ほぼ。
※「触る・押さえる」ことによる下行性抑制系の発現に対しては、従来のゲートコントロール理論よりも当会が唱える「境界意識仮説」のほうが臨床との整合性が高いと考えています。つまり信号を通すゲートの開閉は脊髄後角よりもさらに中枢の脳で行われているという見方です。
こちらの視点であれば、痛みのみならず発赤・腫脹・浮腫といった血管運動障害までが抑えられる現象についてCAN(自律神経の中枢回路)との関係性から、より合理的に説明することができます。境界意識仮説については「脳疲労とは何か?(作成中)」をご覧ください。
今回の実験とは対照的に、可及的早期にBFIを行わなかった症例との対比を以下に示します。その差は歴然…。
。
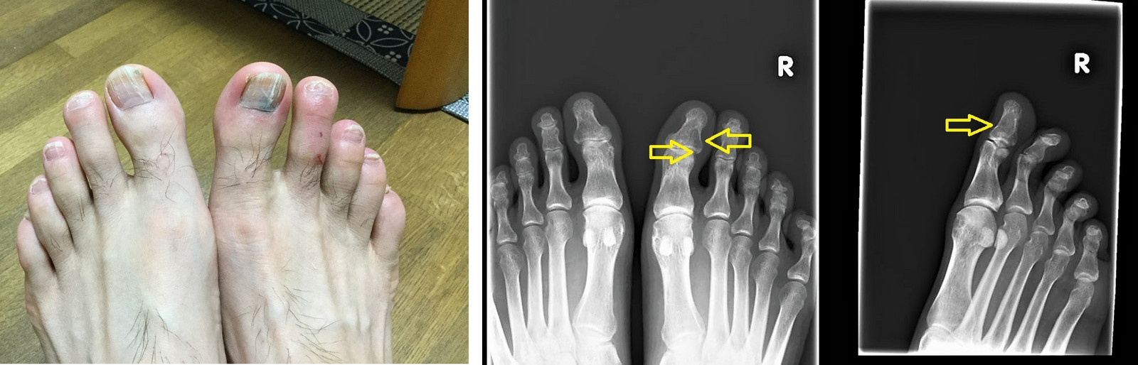
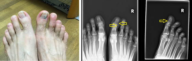
左は今回の実験におけるあっくん(当会代表)の母趾。
右は当院の患者症例で、自宅にて小趾を椅子に強打して受傷。整形で骨折の診断。当院には受傷2日後に来院(当会の一般講演会に参加したことがあり、その際に知った三上式プライトン固定を希望されて受診)。下の画像は患者症例のX線所見。
。
あっくんの母趾は受傷直後にBFIを施行し、翌日からの日常業務にほとんど支障なし。処置はスキンラップのみ(アルケア社のオルソラップを使用)。つまり固定処置が不要だったのです。
。
当日は「皮膚刺激とオキシトシンの関係性」に臨床的な裏付けをもたらした“狂気の実験”内容及び予後について詳しく解説させていただきます。
(2017年BFI研究会主催・一般講演会「脳疲労とタッチケア」で上映されたスライドより)
さらに自身に起こさせた骨折を鑑別するため、様々な触診テクニックを試行した結果、精度が一番高いと思われた骨折判別法(骨への間接的叩打法)を紹介いたします。BFIにおけるTIST(間接的同期タッピング)を応用することで見出された鑑別技法です。
転位のある明らかな骨折であれば、少なくとも骨折の有無に迷うことは少ないでしょう…。しかし軽微な骨折(ヒビ)があるかないかの判定、とくにX線上は明確でなくとも3次元CTやMRIなどで判明し得る極微の不全骨折等の鑑別として確度の高い技法と自負しております。
MRI等の検査手段を持たない整形や接骨院(プライマリケア現場)において、とくにその有用性があるのではと思われます。当日は患者に行っている実際の場面(動画)を供覧しつつ、参加者同士での再演実技を行います(下はその静止画像)。

◇50回記念特別講演[Ⅱ]『胎内記憶セラピーとも言えるBFIの効果を裏づける胎内振動および音について-胎児における触覚と聴覚の発達時期の違いに見る皮膚と振動の密接なる関係性-』
本年4月に開催された一般講演会「BFIとは何か?」で解説させていただいた胎内記憶とBFIタッピング(TIST)の関係性。これを裏づける情報がテレビで紹介されたのを受けて、あらためて皮膚と振動の関係性を解説いたします。

(上記両画像は2018年一般講演会「究極のタッチケアBFIとは何か?」で上映されたスライドより)
本年、NHK「チコちゃんに叱られる」で放映された胎内音を参加者に聴いていただきます。実際の音を聴くことで、BFIにおけるTISTの有効性をより実感していただけるものと思います。

(上記両画像はNHK「チコちゃんに叱られる」より)
今回の情報を受けて一つの推論が浮上しました。BFIにおける様々なテクニックの中でもとくにタッピング系(PT)と相性のいい患者、エフルラージュ系(ST)と相性のいい患者の違いは何に由来するものなのか?もしかすると、本人が胎児のとき母親がアクティブな場合、胎児は羊水の流れによる刺激を受けていた時間が長いと想像される一方で、反対に母親が大人しい場合、静止状態の羊水から伝わる心拍リズムを感受していた時間が相対的に長かったという推論が…。
つまり自身の母親が妊娠中に活動的だった人は羊水の流れに刺激されたC触覚線維経由の刺激すなわちエフルラージュ系(撫でるテクニック)に相性が良く、反対に母親が非活動的だった患者は心拍リズムに近いタッピング系に相性が良いという、そうした傾向が-あくまでも傾向に過ぎない-が、もしかするとあり得る…?
CRPS(RSD)という診断に至りながらも、いまだ強刺激的な介入を平然と行っている現場があることに驚きを隠せませんが、今回は休業補償に絡む診断書発行等の事情から、当該医院への通院を中止することができず、しかし治療の主体はBFIで…と希望された症例について…。
患者は初診時、患側への荷重が不可のため杖をついて来院されましたが、触視覚統合法(触覚同期ミラーセラピー)とBFIルーティンを2回行っただけで、局所の多汗、発赤、浮腫が見事なまでに改善し、杖なしでの自力歩行が可能となりました。
下画像にて足関節の皮膚のしわが出ていることが荷重歩行できるようになった何よりの証し…。写真だと分かりずらいですが皮膚発赤の改善は目を見張るものがありました。

CRPS(RSD)がこのように恢復してしまう現象はなかなか信じていただけないことが多いのですが、回復がスムースな症例と極めてむつかしい症例の違いについて解説させていただきます。
本年発売された週刊現代の記事で取り上げられていたとおり、欧州諸国では認知症治療の主体は薬ではなく、全人医療的な包括的ケアとなる流れが加速しています。
会話とタッチケアが果たす役割は認知症のみならず、あらゆる医療現場で普遍的な意味を持つこと、その任に相応しいGC(総合臨床家)の育成ならびにその人員拡大こそが日本の、否世界中のコメディカルの新たな未来像となりましょう。
脳の仕組みと働きについて深い見識を持って患者ファーストの知見に立って学んでいけば、自ずとGC(総合臨床家)への道が拓けます。“脳”を学ぶことの真の意義に気づくことができる医療者は、MD、NS、PT、OT、ST、ME、JT等々といった従来の資格の枠組みを超えて、GC(総合臨床家)という肩書きを持つ医療従事者なんだということを全力で解説させていただきます。
(週刊現代の記事より一部改変)
(2017年一般講演会「脳疲労とタッチケア」で上映されたスライドより)
欧米を中心に広まっているタッチケアの現状は、匠の技術で世界をリードする日本にとって、なんとも歯がゆい状況と言わざるを得ません。
日本人の繊細なる手の感性を世界中の人々がリスペクトしているなか、医療界では手術にのみその才能が生かされ-手術の世界では日本人の手先の器用さが如何なく発揮され-、かつそうした名医がテレビで紹介され続ける一方、タッチケアにおける日本人の精妙なる秀逸さがまったく公共の電波に乗らない現状こそが、いびつな医療の実態を象徴している…。
(週刊現代の記事より一部改変) →脳疲労とは何か?かんたん解説版 (復元中)
日本の常識は世界の非常識という医療の在り方を根本的に変えていくためには、脳の視点を究めたGC(総合臨床家)を1人でも増やしていく以外に道はない。
「脳の仕組み?複雑系?そっち系の専門家と言えば、やはりGC(総合臨床家)の人たちだよね」と世人が会話する未来を…。
(週刊現代の記事より一部改変)
脳内における感覚処理システムには『補完(本来ない情報を合目的的に補ってしまう回路)』をはじめ様々な情報処理系があり、その全容はいまだ解明されておりません。当会はこれまでこうした未解明のシステムにはバグを孕むプログラムが潜んでおり、その誤作動によって多種多様な感覚異常が引き起こされることを報告してまいりました。
こうした感覚異常の発現に深く関わるものとして、「脳代謝バランスの失調」という視点で捉えた当会独自の視点“脳疲労”の存在があることも主張しています(→脳疲労とは何か?かんたん解説版)。
ヘビースモーカーだった夫の急逝後、周囲に喫煙の気配がまったくないにも拘らず、ふとタバコ臭が漂ってきたり、線香を焚いていないのにそれを感じたりといった摩訶不思議なことが頻繁に起こるようになったと訴える症例。
お寺の住職に相談したところ、「いわゆる霊臭と呼ばれる現象かも知れませんが、四十九日の法要が終わったら消える場合が多いです」と説明され、納得していたとのこと。しかし法要が終わった後も、そうした現象が続いているという患者にBFIを続けたところ、そうした現象はほとんど起こらなくなりました。
交通事故等の頭部外傷に伴って嗅神経細胞軸索が損傷を受けると、例えばキンモクセイの甘い香りを悪臭に感じてしまうといった嗅覚の錯誤をきたすことが知られています。脳疲労によっても似たような現象が起こることはこれまでの臨床で経験済みでしたが、今回のような症例(患者自身が霊臭だと納得していた現象も脳疲労に伴う嗅覚錯誤であった可能性が高い)は私も初めてでしたのでその詳細をレポートいたします。
BFI認定院のはしごを繰り返している極めて重度のCRPS(RSD)症例に対して、ミラーセラピーを試行錯誤するなかで見出された新しい手法について紹介いたします。
。
この症例は発達個性と失感情症を高度に合併しているため、BFI認定院においても治療に難渋していましたが、温冷交代浴の概念と触視覚統合を融合させることで、大きな改善につながりました。
覚醒時(意識のある日中)はCRPS(RSD)特有の灼熱痛に常時襲われており、その痛みから逃れるため常に保冷剤を手部に当てがっている状態で、かたときも保冷剤を手放すことができず、終日クーラーボックスに多数の保冷剤を入れて持ち歩いています(通院等の外出時は必ず家族が同伴し、車内に同ボックスを常置)。
「冷やさないといられない」という強固なとらわれ、思い込みを少しでも和らげる必要があると考え、ミラーセラピーの際に、健側の左手に保冷剤をあてがい、患側の右手には冷やされていない常温のままの保冷剤をあてがってもらい、鏡像錯覚を利用して「実際は冷やされていない右手に対して、脳が冷やされている左手を見ることで、右手も冷たいという錯覚を起こさせることはできないだろうか」と当初は試してみたのですが、その“冷覚移植”は失敗に終わったのですが、意外な効果が!

本人いわく「正常な左手だと、こんなにも冷たくて耐えられないものなんだ…」と、自らの行為がいかに異常なことであるかを悟ったご様子でした。
その後、紆余曲折を経て右手と左手の保冷剤を交換しながら、すなわち温冷交代浴と同じ要領で触視覚統合ミラーセラピーを続けた結果、日常の生活動作において手が使える場面が徐々に増えていったのです。これに同期して皮膚の色も顕著に回復しました。
当日はその詳細についてご報告いたします。
当会の実験および実技演習には初参加者の方も加わっていただいておりますが、これまでのところ支障を来たした例はございません(皆無です)。どなた様におかれましても、なく安心してご参加いただけます。
初めて参加する際、「実際の技術はどれくらいの力加減なのか知りたくて…」という方が多いのですが、まさしくその絶好の機会と捉えていただければと…。
ただ事前の準備として、BFIの動画(➡前回アップデートの動画)を見ておいていただくと当日の実技演習がスムースに行えると思います。いわゆるイメージトレーニングですが、最新の脳科学でその有効性が立証されています。お時間の許す範囲内で眺めておいていただければと思います。


